e-Learning Cytology

219 contents...

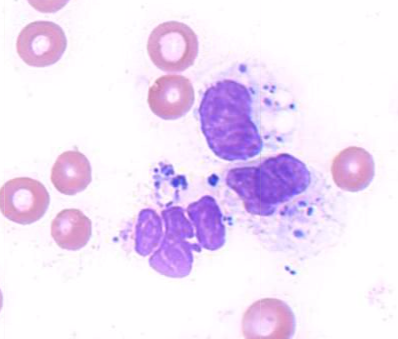
수리부엉이 구강내 candidiasis1520168172_4539

소화기 / 기타 / 조류
2005003276_122_eagle_owl_2 환자: 수리부엉이, 구강 내 plaque, pododermatitis 시료채취: 발 육아종 imprint 소견: candidiasis

mammary anode carcinoma1520264713_0789

유선/생식기 / 종양(상피세포) / 개
환자: 마리아, 15Y, female, 유선,겨드랑이,복부의 종괴 시료채취: 좌우 4~5번 유선의 종괴에서 FNA 2010009635_01

한우 송아지 설사1725369245_3957

혈액 / 정상 / 소
한우 송아지 / 1개월령, 240604 10일 정도전에 설사증세로 자가치료를 함. (마보플록사신 & 메타캄)  3일 정도 주사처치후 설사가 멈추고 치료를 끝냄 7일정도 특별히 관찰을 못했지만 회복된 줄 알고 있다가 어제(6월25일) 보행을 힘들어 할 만큼 힘이 없어 자가진료로 수액처치를 했다고 함  6월26일 현재는 어제 보다는 상태가 다소 호전되었으나 여전히 식욕부진과 침울함을 보임  다.). 현재 설사는 없으나 오히려 백리에 가까운 색깔과 냄새가 좋지 않았으며, 둥글하게 뭉쳐진 두덩이 분변이 직장에서 만져짐.(소량의 혈변도 섞여있음) #우성2

파행이 있는 젖소의 혈액도말1725370773_0838

혈액 / 염증(감염성) / 소
나이: 58개월령 2일전에 갑자기 파행증상을 보임.. 거의 못일어남  칼슘보러스 보비칼(Active Ingredients per bolus: Calcium chloride - 579.1 mg/g, Calcium sulfate - 231.6 mg/g)을 전날 저녁에 먹인 상태임 - 피부 결절이 관찰된다고 축주가 얘기했으나 소량 몇 개만 보임 #우성 1

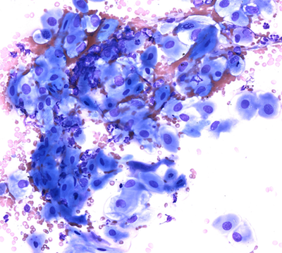
oral mass1445625530_3147

소화기 / 종양(간엽성) / 개
1. Signalmanet: K9, 닥스훈트 / 중성화 암컷 / 14년령 2. History & CC: 평소 치아관리를 못해주셨으며 작년부터 치아가 빠지기 시작. 2개월 전부터 목주위 종괴 및 salivation 관찰됨. 림프종의심으로 지역병원에서 의뢰됨. 3. Physical examination : - BT 38.7, HR 192, RR 36, BP165, BCS 6 - Lymphadenopathies : Rt.submadibular LN 4.8 x 4.4 cm, Lt.submadibular LN 5.9 x 5.4 cm, Lt.scapular LN 0.7 x 0.5 cm, Rt.popliteal LN 0.5 x 0.5 cm, Lt.popliteal LN 0.5 x 0,5 cm submadibular LN에서 열감이 느껴짐 - Oral cavity : severe tartar, mass on Lt. palate oronasal fistula 4. Radiology : Lt & Rt submandibular lymphadenomegaly : osteolysis 및 pulmonary metastasis는 확인되지 않음. - oronasal fistula - nasal discharge 하악림프절에 대한 FNA 결과 patient info: 2015016107_01_oral_mass

Bacterial peritonitis1520621190_1661

체강 내 유출액 / 염증(비감염성) / 개
2008006637_01-2

urinary_bladder_mas_tcc-or-prostate-cancer_2015015276_011520938254_7472

유선/생식기 / / 개
돌돌, Mixed breed, Castrated Male, 10y, 6.2kg Doldol 2015015276_01 Sample: urine urinary_bladder_mas_tcc-or-prostate-cancer_2015015276_01

갑상샘종

내분비 / 종양(상피세포) / 개
환자명: Bokdol sampling site: Rt cervical mass Methods: FNA 2014015227_02

호랑이 혈액1645258906_4427

혈액 / / 야생동물
호랑이 혈액도말표본

Squamous cell carcinoma / 편평상피세포종1488215076_1038

눈과 관련 구조 / 종양(상피세포) / 고슴도치
Patient info. Hedgehog / African Pygmy Hedgehog / Intact Female 2013013877_02 Sampling

liver1495189249_1861

간 / 정상 / 개
haru-liver-20170518

Bacterial cystitis1520957049_7888

소변침전물 및 요로 / 미생물 / 개
2008006805_85

bite wound-bacterial infection1520756023_3492

피부/피하 / 염증(감염성) / 개
bite wound-bacterial infection

테스트를 위한 등록1457251980_1027

혈액 / 정상 / 개
테스트 환자

Thoracic mass1488937497_4372

호흡기 / 종양(상피세포) / 개
Patient info. Mixed breed/ Castrated Male / 군밤 9년 2개월령 2017017784_01 Sampling site: lung Methods: FNA

Uterine mass (Osteosarcoma, leiomyosarcoma)

유선/생식기 / 종양(간엽성) / 개
K9/ chihuahua/ 4.62kg/ 16yr/ female - 자궁 이상 및 배뇨곤란으로 내원, 초음파 리드 하에 FNA 실시

Hemoproteus in bird1537068839_1053

혈액 / 미생물 / 조류
Hemoproteus 

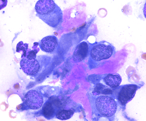
Salivary gland hyperplasia

샘조직 / 과형성 / 개
Maltese, 7살, 4.02kg, 암컷 내과검진상에서 혈액수치 NRF, X-ray NRF, 하악부위 mass는 침샘과다증식으로 확인 항생제 TMS로 교체 2일뒤 고체온증 사라짐. 피부 전반적인 발적 감소, 등부위 papaule 및 scale은 아직 남아있음 귀세척액 교체, 점이액 이소틱으로 교체 2일째 귀의 소양감 및 발적 확연히 감소함

호흡기 / 염증(비감염성) / 개
챠트:2015015253_01 구분:♂(중성화 수컷)[개]/8년령 품종:Mixed breed 체중:4.00Kg 임상징후: 호흡곤란 sampling: BAL

Cystocentesis (TCC,Transitional Cell Carcinoma)

소변침전물 및 요로 / 종양(상피세포) / 개
k9/ shihtzu/ 8.48kg/ 9yr/ 중성화 암컷 -배뇨곤란으로 내원 -한 달 전부터 배뇨곤란(핍뇨)이 있었고, 소변의 붉은 색이 어제부터 심해짐. -사료와 물은 잘 먹음 -> 물을 많이 먹는다고 함 -1달전까지 피부약을 먹였고, 내원 어제까지 방광약을 1달 먹였다고 함.
There are more than 199 contents => Go Search!!