e-Learning Cytology

219 contents

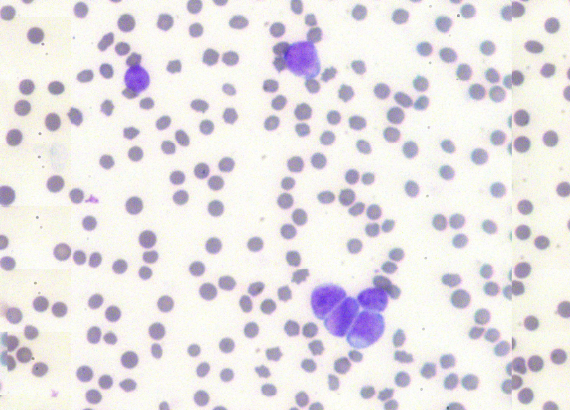
급성유방염 젖소의 혈액상1725373706_7993

혈액 / 염증(감염성) / 소
- 나이: 64개월 - 3일전 부터 급성 유방염으로 식욕부진, 침울, 산유량 감소 및 감염분방에서 농성물질 보임 - 3일간 마보플록사신, 케토프로펜, 덱사메타손 등 사용 - 금일(6월13일)에도 25% 포도당 및 CDP(종합칼슘제)를 자가진료로 정맥 주사한 상태임 - 신체검사 시 38.5℃, 빈맥(132회/분) 및 빈호흡을 보임 #유구1

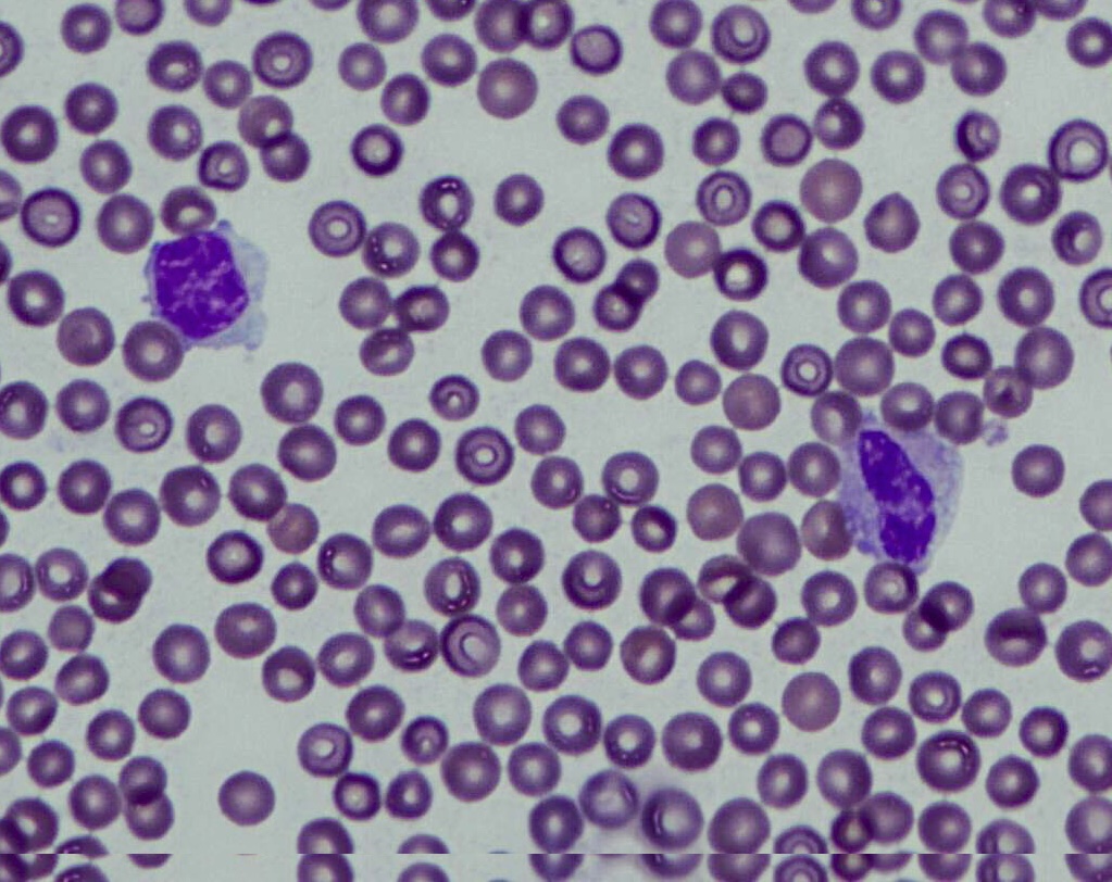
파행이 있는 젖소의 혈액도말1725370773_0838

혈액 / 염증(감염성) / 소
나이: 58개월령 2일전에 갑자기 파행증상을 보임.. 거의 못일어남  칼슘보러스 보비칼(Active Ingredients per bolus: Calcium chloride - 579.1 mg/g, Calcium sulfate - 231.6 mg/g)을 전날 저녁에 먹인 상태임 - 피부 결절이 관찰된다고 축주가 얘기했으나 소량 몇 개만 보임 #우성 1

한우 송아지 설사1725369245_3957

혈액 / 정상 / 소
한우 송아지 / 1개월령, 240604 10일 정도전에 설사증세로 자가치료를 함. (마보플록사신 & 메타캄)  3일 정도 주사처치후 설사가 멈추고 치료를 끝냄 7일정도 특별히 관찰을 못했지만 회복된 줄 알고 있다가 어제(6월25일) 보행을 힘들어 할 만큼 힘이 없어 자가진료로 수액처치를 했다고 함  6월26일 현재는 어제 보다는 상태가 다소 호전되었으나 여전히 식욕부진과 침울함을 보임  다.). 현재 설사는 없으나 오히려 백리에 가까운 색깔과 냄새가 좋지 않았으며, 둥글하게 뭉쳐진 두덩이 분변이 직장에서 만져짐.(소량의 혈변도 섞여있음) #우성2

기립불능 젖소 혈액검사1725368439_3401

혈액 / 정상 / 소
임신이 확인된 경산우 2일전에 갑자기 기립불능 증상을 보여 전날 수액처치(칼슘 및 칼륨 포함) 실시 금일 여전히 기립이 힘든 임상증상을 보임 #사곡 2-1

Blood smear of leukocytosis1725367174_0757

혈액 / 염증(감염성) /
생후 7일차 젖소 송아지 처음 초유 섭취 이후로 우유 섭취를 거부하고 배변을 확인 할수 없었다고 함 복부가 다소 팽만하고 항문으로 손가락을 넣었을 때 중지 만큼은 들어가나 분변은 전혀 나오지 않음 채혈 후 안락사 #사곡 2-2

호랑이 혈액1645258906_4427

혈액 / / 야생동물
호랑이 혈액도말표본

Jedu1620054174_3353

혈액 / / 고양이
Jedu

Eye swab-cockatiel1645286139_1728

눈과 관련 구조 / / 조류
2017017786_01-cockatiel-rupina-eye swab