e-Learning Cytology

219 contents...

2008006673_011520620704_9951

기타 / /
2008006673_01

Lipoma

기타 / / 개
Maltese/12살/14kg/중성화수컷 교통사고로 왼쪽 뒷다리 수술받음 눈꺼풀 혹을 제거 받았으며 이는 조직검사결과 양성 지간염으로  Malasercerm으로 약욕해옴

2010009139_011520620910_7738

기타 / /
2010009139_01

Thoracic mass1520757806_5258

호흡기 / / 개
Gunbam, mixed breed, castrated male, 9 y, 5.7kg 2017017784_01 sample: - thoracic mass

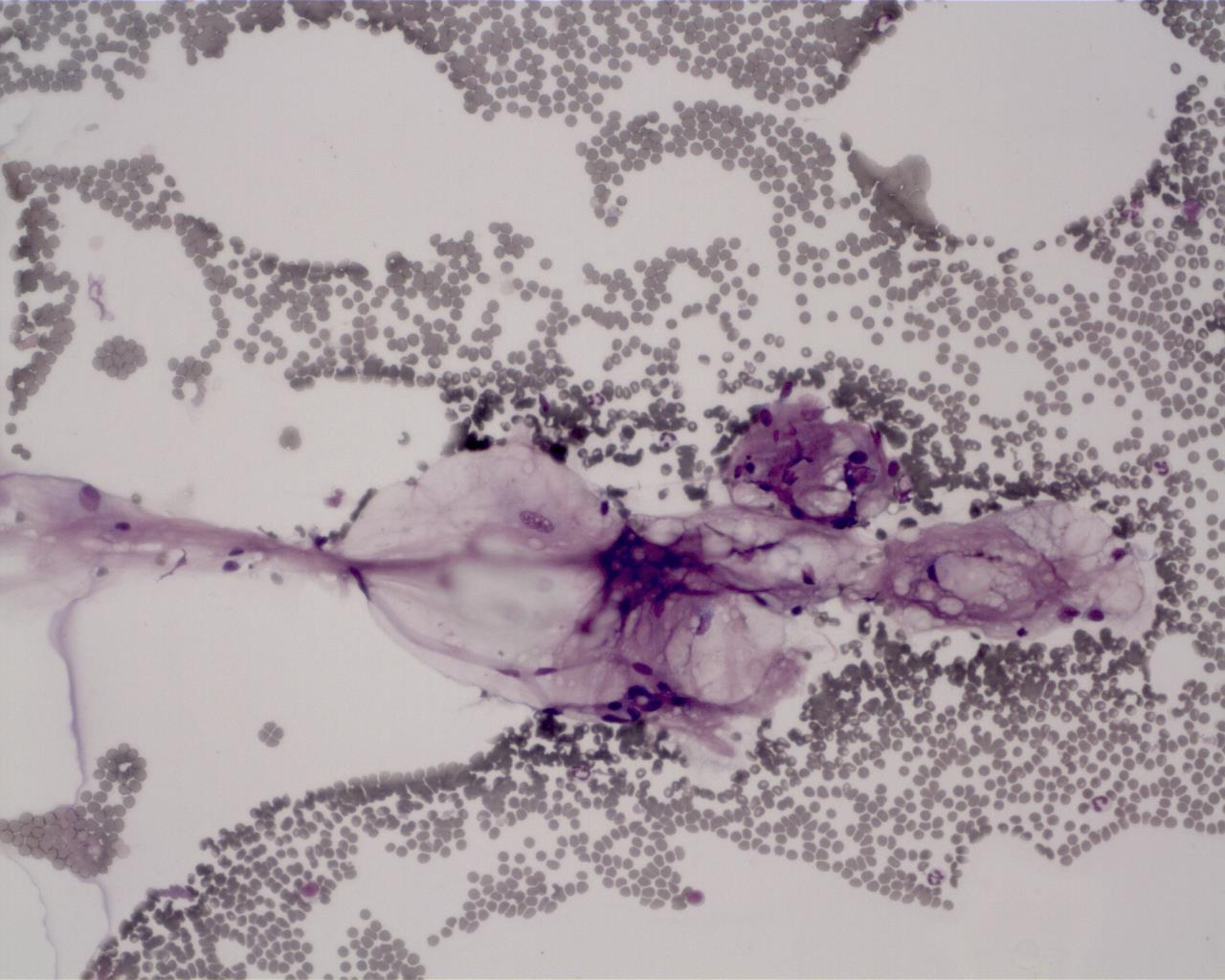
Perianal gland tumor 31520153277_1615

샘조직 / /
2010008372_01_C_toto_M_8Y_perianal-gland-tumor_Z

잇몸 mass

기타 / / 개
Bichon Frise, 2.1kg, 1살, 암컷 지난 내원시 FNA로 덩어리 속의 내용물이 일부 제거되어 크기가 줄어든 이후로 크기가 더 커지지 않음. 통증, 소양감 없음. 구강내 추가적인 병변은 확인되지 않음.

Hepatopathy

간 / 기타 / 개
K9/pomeranian/3.62kg/5yr/중성화암컷 - 1달 전에 시작된 구토, 식욕 감소로 로컬병원 내원하였음. 배가 노랗게 변하고 오줌이 진하게 변했다고 함. - 혈액 검사상 간수치가 측정 불가 한 정도로 들으셨고 간장제와 처방식 처방 후 증상은 호전되었고 재검사 하였을때 수치는 측정 가능한 범위까지 떨어짐. - 이후 다시 식욕 감소가 시작되고 처방식을 먹이지 못함 (일반 사료 먹임) -> 다시 간수치 상승되고 식욕 감소는 지속됨. - 현재 배가 노랗거나 오줌이 진한 색이지는 않음. 체온(T):39.4 / 맥박(P) : 144 / 호흡(R) : 36 / 체중(W) : 2.88 / 혈압(BP) : 143 / BCS : 4/9

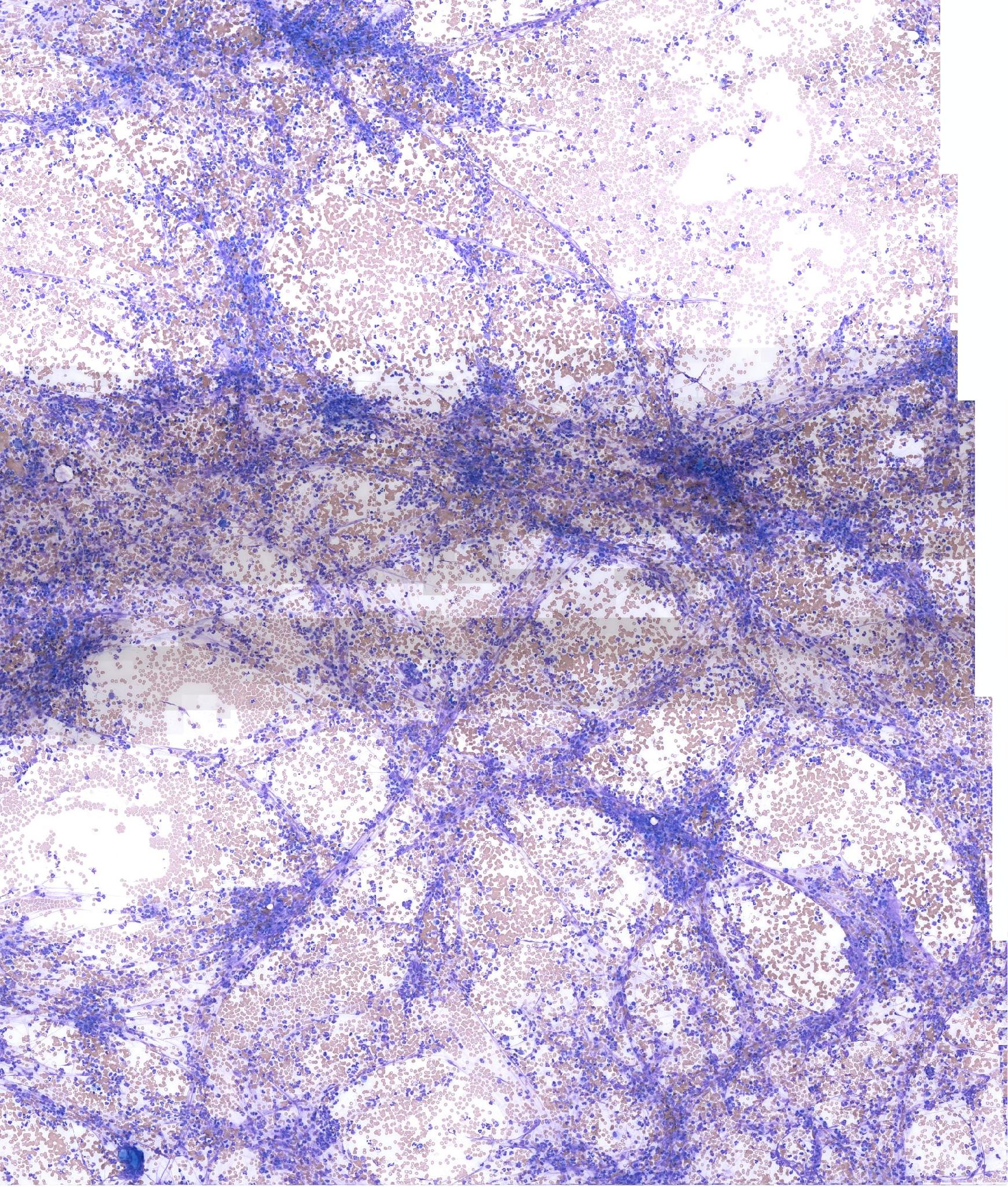
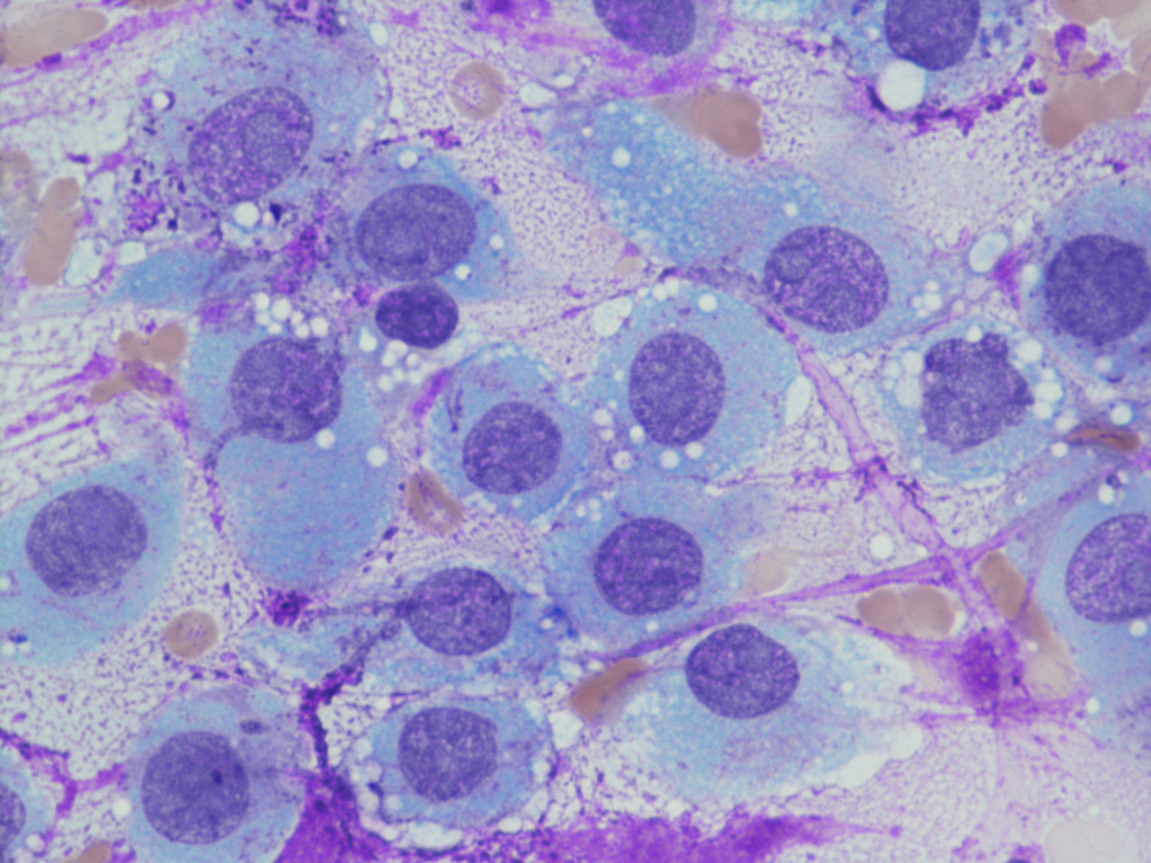
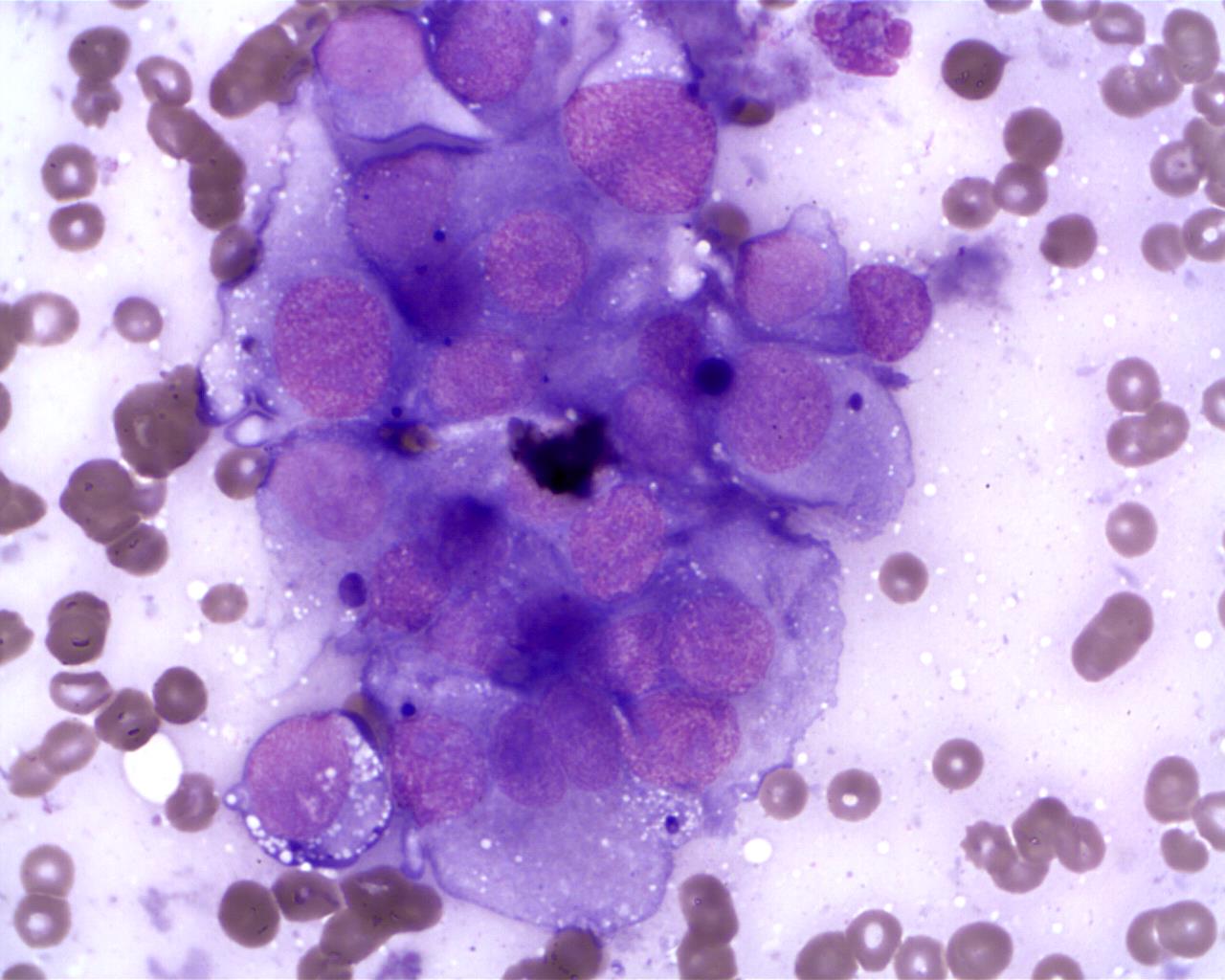
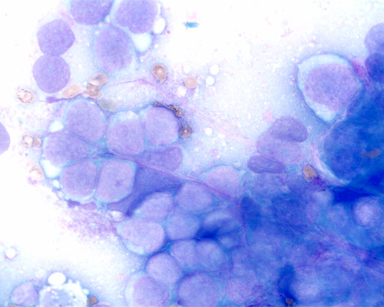
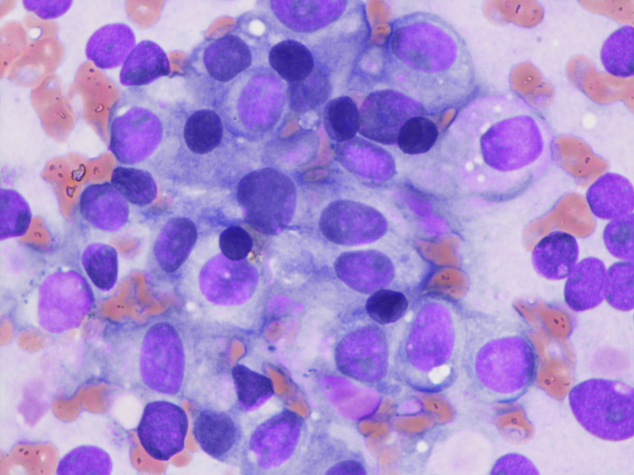
Normal bone marrow 11521041658_5152

골수 / 정상 / 개
Normal canine Sample: bone marrow aspiration(골수흡인표본)

Transitional Cell Carcinoma(방광이행상피암)

소변침전물 및 요로 / 종양(상피세포) / 개
2013012670_01 Poodle / NM / 3.75kg / 11Y 방광염으로 치료받다가 방광내 폴립 발견. Cystectomy 하며 TCC로 확인. 3개월 후 복벽으로 전이되어 재수술. (Inguinal mass) (Lt: after cystectomy, Rt: after 3month)

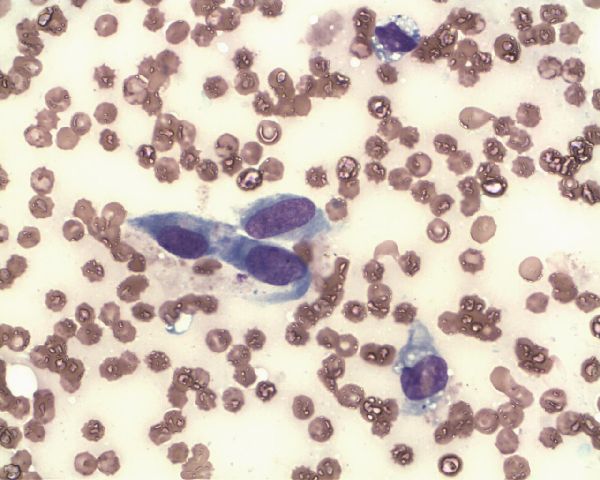
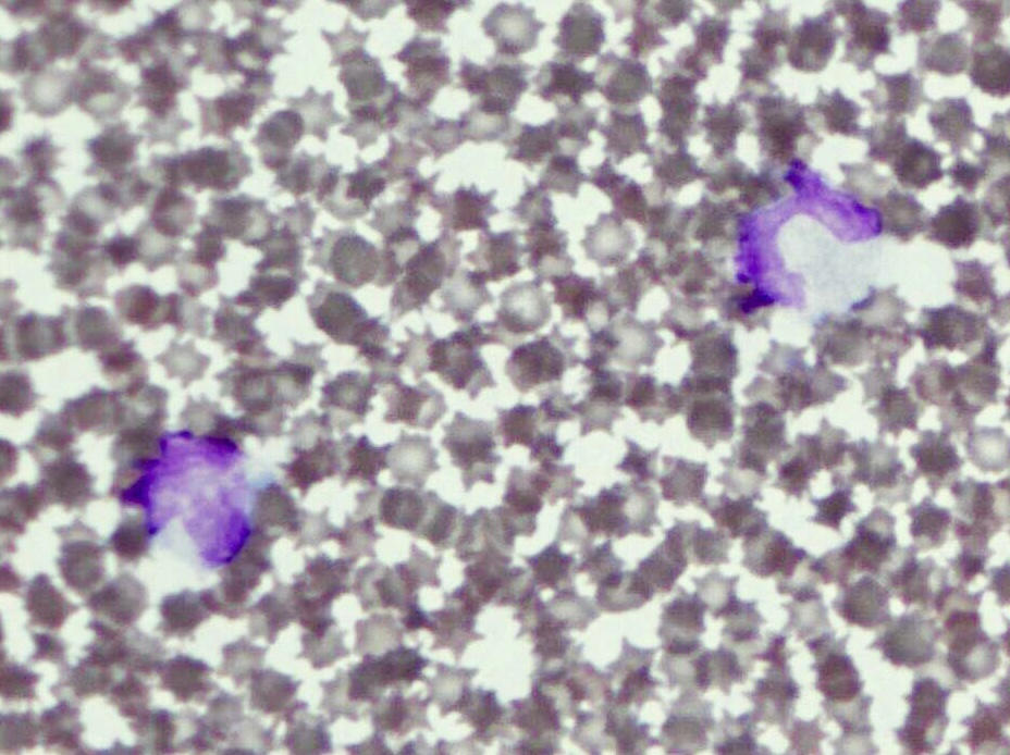
Blood smears of pyometra1511708061_8057

혈액 / 염증(감염성) / 개
개의 혈액도말상

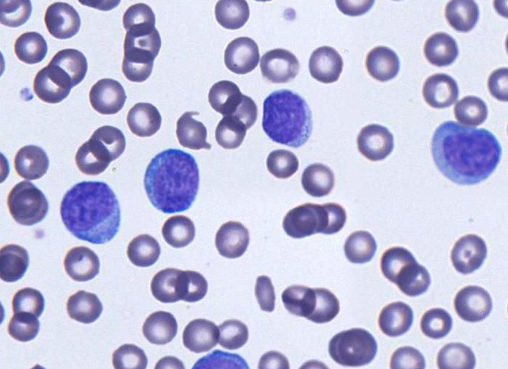
수달 혈액도말, otter1520173297_8087

혈액 / 정상 / 작은 포유류
환자: 야생수달 시료: 말초혈액 소견: 정상 혈액 도말표본

Thoracic mass1488937497_4372

호흡기 / 종양(상피세포) / 개
Patient info. Mixed breed/ Castrated Male / 군밤 9년 2개월령 2017017784_01 Sampling site: lung Methods: FNA

Mandibular mass1520954481_1405

피부/피하 / / 개
몽이, Shih Tzu, 13y, Castrated Male, 5.42 Kg Mongi 2015016200_01 CC: - 좌측 귀밑 덩어리

amelanotic melanoma 1520955735_4327

기타 / 종양(간엽성) / 개
2015015611_01 K9/Cocker Spaniel/F/9.48Kg/14Y 갑자기 1주 내에 mass가 커지기 시작하더니 입안까지 커짐. 신체검사상 왼쪽 상악, 목, 및 오른쪽 앞다리에 mass 확인됨.

mammary tumor1520314567_7309

유선/생식기 / 종양(상피세포) / 개
품종: Poodle 체중 : 3.96 Kg 성별 : Intact Female 생일 : 2004.11.20 (13-06) 2010009669_01

Bacterial cystitis

소변침전물 및 요로 / 염증(비감염성) / 개
중성화 수컷/말티즈 2014014876_01-C-Paul-Maltese-nm-10_02

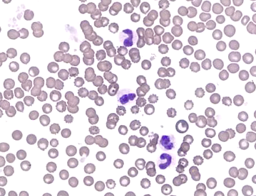
Blood smear of lymphoma follow up1537079527_3868

혈액 / 기타 / 개
K9, Ruchi, lymphoma

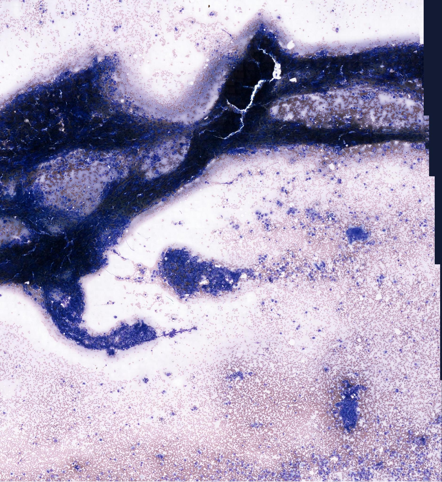
lobular_pneumonia K71520759421_2103

호흡기 / / 개
lobular_pneumonia K7

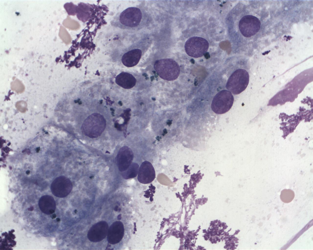
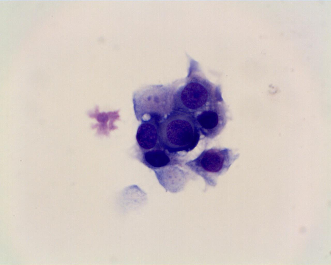
갑상샘종

내분비 / 종양(상피세포) / 개
환자명: Bokdol sampling site: Rt cervical mass Methods: FNA 2014015227_02

bite wound-bacterial infection1520756023_3492

피부/피하 / 염증(감염성) / 개
bite wound-bacterial infection
There are more than 199 contents => Go Search!!