e-Learning Histology & Pathology

110 contents...

Pathology, 09-rc-105_3m-7-8

/ /
09-rc-105_3m-7-8

Hamster

피부/피하 / 종양(상피세포) / 햄스터
햄스터 피부종양

Pathology, SNUH11001011LM022-01

기타 / /
SNUH11001011LM022-01

Pathology, 09002-2

기타 / /
09002-2

Pathology, 09-RC-105_2M-34-10

/ /
09-RC-105_2M-34-10

Pathology, 09-rc-105_2m-9-8-1

/ /
09-rc-105_2m-9-8-1

Pathology B09005 1510-15

기타 / /
B09005 1510-15

Pathology, 09-RC-105_3M-12-19

/ /
09-RC-105_3M-12-19

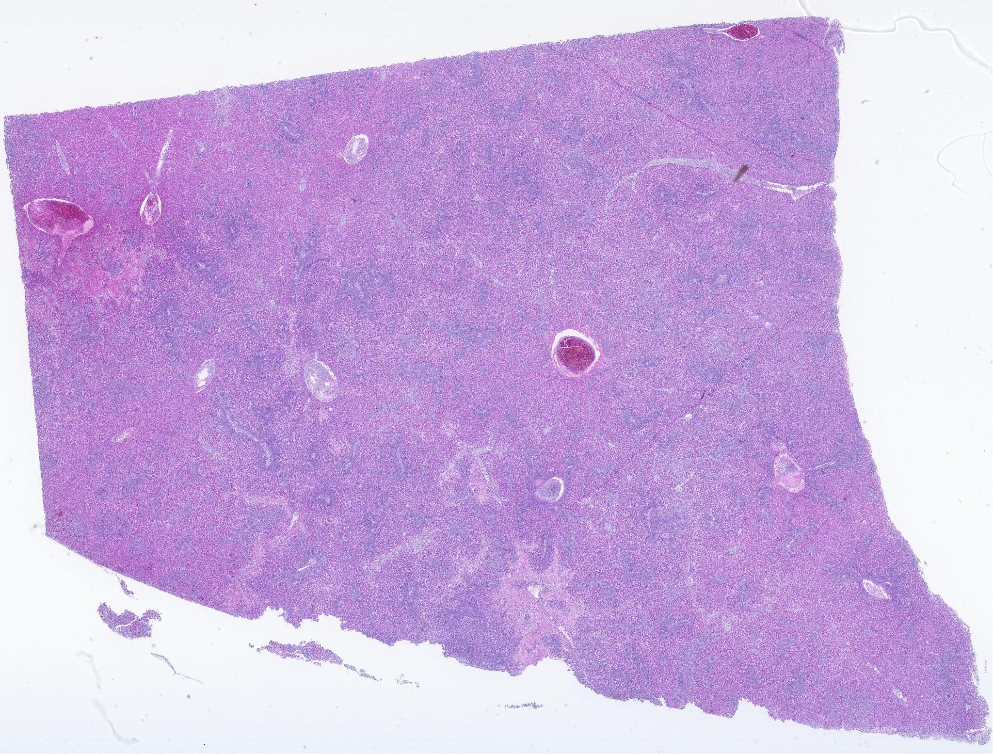
Pathology, 09-rc-105_3m-54-5

신장 / /
09-rc-105_3m-54-5

Pathology, 12010-1

기타 / /
12010-1

Normal liver of chicken

간 / / 조류
조류의 간 조직에 대한 정상 형태를 익힌다.

Pathology, 09035-2

기타 / /
09035-2

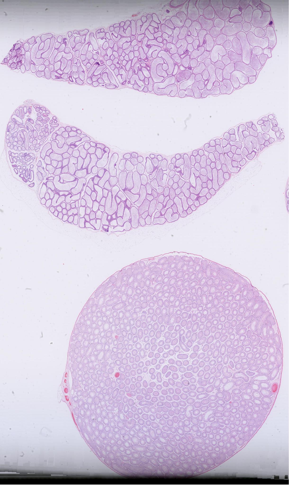
Pathology, 09-rc-105_3m-7-5

신장 / /
09-rc-105_3m-7-5

Patholog, 09-rc-105_2m-39-15

뇌척수액/중추신경계 / /
09-rc-105_2m-39-15

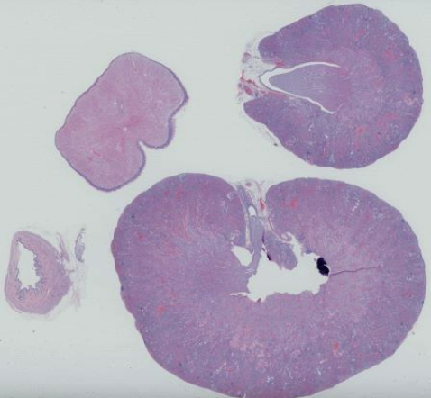
Pathology, 09-rc-105-2m-9-5

신장 / /
09-rc-105-2m-9-5

신장 / 기타 / 돼지

Pathology,09068-3

간 / /
09068-3

pathology, 09006-5

기타 / /
09006-5

Pathology, 09068-1

기타 / /
09068-1

상괭이

/ /
상괭이 조직표본
There are more than 90 contents => Go Search!!